Notre profession a pour habitude de privilégier l’aspect technique et/ou chirurgical pour répondre à une situation clinique donnée. Pour autant, un acte technique même parfaitement exécuté ne produira pas les résultats escomptés s’il est mal indiqué dans le contexte buccodentaire général du patient.
La logique thérapeutique que nous appliquons dans le cabinet est fondée sur une démarche en trois étapes :
- Observer : bilan clinique, radiographique, photographies…
- Comprendre : une réflexion nécessaire à l’établissement d’un plan de traitement.
- Agir : C’est à dire traiter.
Cette méthodologie permet d’assurer la sécurité et la sérénité lors de l’exécution des traitements.
Cette planification thérapeutique globale concerne l’ensemble des patients reçus au cabinet. En effet, nous ne traitons pas les problèmes isolés les uns aux autres, car c’est en prenant en compte tous les éléments de chaque patient que nous pouvons améliorer la santé buccodentaire et la qualité des traitements sur le long terme.
Cette approche globale n’est pas un concept permettant de réaliser un maximum d’actes opératoires dans la bouche du patient, mais elle permet de déterminer les moyens les plus efficaces pour résoudre les problèmes constatés et prévenir le risque d’apparition de futurs problèmes.
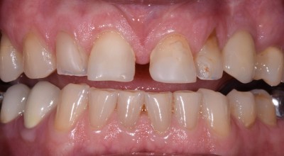
- Avant
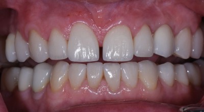
- Après

